
Le psoriasis est une maladie cutanée chronique caractérisée par une évolution ondulatoire. Le plus souvent, le psoriasis se manifeste par une lésion cutanée spécifique qui peut être localisée sur n'importe quelle zone de la peau.
Le psoriasis initial ne peut pas toujours être reconnu immédiatement. Cependant, cela est possible si vous prêtez attention à temps aux symptômes caractéristiques. Si vous consultez un dermatologue à temps, le développement de l'éruption cutanée peut être ralenti et arrêté. Par conséquent, il est important de savoir quels signes indiquent la présence d'une pathologie.
Causes du psoriasis. Phase initiale
Il n'existe aucun fait fiable sur ce sujet. Le psoriasis n’est pas une maladie entièrement comprise. Cependant, il existe des facteurs connus qui peuvent contribuer à son apparition :
- prédisposition génétique (parmi les facteurs les plus courants) ;
- Dysfonctionnement du système immunitaire (conduit également souvent à l’apparition de psoriasis) ;
- problèmes endocriniens;
- infection streptococcique récente (mal de gorge)
- la présence de maladies chroniques (notamment inflammatoires) ;
- les mauvaises habitudes telles que la dépendance à l’alcool et à la cigarette ;
- stress fréquent.
Le psoriasis peut survenir chez les personnes de tous sexes et de tous âges. Cependant, les personnes de plus de 25 à 30 ans y sont plus sensibles.
Symptômes du stade initial
Aux premiers stades du psoriasis, les symptômes sont légers. Cependant, vous les remarquerez peut-être.
Pour comprendre comment se développe le psoriasis, vous devez prêter attention aux symptômes typiques suivants :
- Sécheresse accrue et desquamation de la peau. Une personne ressent une gêne cutanée au niveau des coudes, des genoux, du bas du dos et du cuir chevelu. Toutefois, ces domaines peuvent varier d'un cas à l'autre.
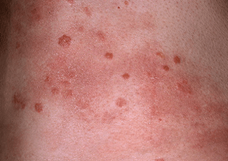
- Présence d'éruptions cutanées spécifiques. Les petites papules rose-rouge (éléments d'éruption plats légèrement surélevés au-dessus du niveau de la peau) sont typiques du psoriasis avec des limites claires qui se fondent progressivement les unes dans les autres.
- des écailles à la surface de l'éruption cutanée. Ils sont de couleur argentée ou blanchâtre. Ils s'éliminent facilement des éruptions cutanées, mais cela peut entraîner la formation de fissures ou l'apparition de sensations subjectives désagréables.
Dans certains types de psoriasis (« pustuleux »), l'éruption cutanée peut apparaître non pas sous la forme de taches, mais sous la forme de petites formations convexes avec un contenu purulent à l'intérieur. Sur la photo de la forme initiale du psoriasis, vous pouvez voir comment les différentes formes de psoriasis se manifestent et quels sont leurs symptômes.
Dans le psoriasis des ongles, l’éruption cutanée affecte principalement la plaque. Dans ce cas, les premiers signes sont les suivants :
- la formation de petites dépressions sur les ongles (le symptôme « dé à coudre »)
- Modifications de la structure de la plaque à ongles – l’ongle devient plus épais et cassant
- Changement de couleur de la plaque à ongles – l'ongle peut acquérir une teinte jaune, des taches rouge orangé apparaissent sous l'ongle
- épaississement de la peau sous l'ongle ;
- relâchement du panneau et pelage (pas toujours);
- petites lignes longitudinales sombres sous la plaque unguéale (symptôme non spécifique, résultant d'un saignement sous la plaque unguéale)
- Rougeur du trou de l'ongle.
Des photos des symptômes des premiers stades du psoriasis vous aideront à vous y retrouver.
Les premiers symptômes sont assez vagues et ne sont pas clairement perceptibles. De plus, ils ressemblent aux symptômes de certaines autres maladies dermatologiques, ce qui peut entraîner des difficultés de diagnostic. Pour cette raison, il est extrêmement important de prendre immédiatement rendez-vous à l'hôpital pour un diagnostic plus précis.
Tous les stades du psoriasis
Il y a trois étapes clés dans le développement de la maladie :
- Stade initial ou progressif. De nombreuses petites papules se forment sur la peau. Un trait caractéristique de ce stade de la maladie est l'apparition d'éruptions cutanées dans les zones de lésions cutanées récentes ; Vous pouvez voir à quoi ressemble le psoriasis aux premiers stades sur la photo.
- Stationnaire. Les éruptions cutanées deviennent plus grandes et commencent à fusionner, formant de grandes plaques aux contours flous. Aucun nouvel élément de l'éruption cutanée n'apparaît, mais de nombreuses écailles se forment à la surface de l'éruption cutanée.
- Final. L’éruption cutanée diminuera et disparaîtra progressivement d’elle-même. Il peut rester une légère pigmentation qui disparaît d'elle-même avec le temps, ou une zone de couleur plus claire par rapport à la peau saine environnante.

La question se pose souvent : « Le psoriasis démange-t-il aux stades précoce et final ? Dans le psoriasis, les démangeaisons sont un symptôme inhabituel ; cela n'existe peut-être pas.
À chaque exacerbation, la maladie progresse successivement à travers les trois stades. Cependant, si le traitement est commencé dès le début de la première étape, la progression de l’éruption cutanée peut être évitée.
Pour la plupart des gens, les symptômes surviennent par cycles. Ils persistent généralement plusieurs semaines lors de la prochaine épidémie, puis s'affaiblissent progressivement et disparaissent. La forme du psoriasis naissant détermine à quoi ressemblent les photos et les symptômes réels
Traitement des premiers stades du psoriasis
Dès les premiers signes suspects, vous devez contacter un dermatologue.
Le psoriasis à un stade précoce nécessite un traitement médicamenteux minimal. Principalement externe.
Généralement utilisé :
- Pommades et crèmes non hormonales. Ils constituent la base du traitement car ils peuvent être utilisés à n’importe quel stade de la maladie, y compris en rémission. Ils ont un effet doux et n’ont souvent aucun effet secondaire. Ils soulagent la desquamation, les rougeurs, les sensations subjectives et ralentissent les processus inflammatoires.
- Pommades et crèmes hormonales. Aux premiers stades de la maladie, ils sont généralement utilisés en cas d'inflammation sévère ou d'une forme particulière de psoriasis (exsudatif). Ces médicaments peuvent rapidement faire face à l'inflammation de la zone cutanée affectée. Cependant, les pommades et crèmes hormonales ne conviennent pas à une utilisation à long terme car elles peuvent provoquer des effets secondaires si elles sont utilisées pendant une longue période. Les photos illustrent le mieux l’ampleur de l’apparition du psoriasis, tant chez les adultes que chez les enfants.
- Gels et crèmes hydratants. Apaise et adoucit la peau. Peut être utilisé comme soin supplémentaire.
- Complexes de vitamines. Une mesure supplémentaire pour soutenir la force et la résistance du corps aux maladies. La vitamine A est principalement utilisée pour le psoriasis car elle affecte la division cellulaire des cellules de la peau et le processus de desquamation. À mesure que la maladie progresse, les complexes multivitaminés ne sont généralement pas prescrits.
- Procédures physiothérapeutiques. Particulièrement efficace dans la phase initiale. La photothérapie (UVB ou PUVA) ainsi que l'irradiation excimer aux rayons UV et au laser sont plus couramment prescrites.
Dans la plupart des cas, les médicaments sont prescrits par un médecin. Plusieurs médicaments peuvent être utilisés en combinaison. Si les symptômes sont légers, les médicaments oraux peuvent être évités et seules des préparations non hormonales appliquées en externe peuvent être utilisées.
Prévention des premiers stades du psoriasis
Les mesures préventives permettent de retarder les manifestations de la maladie et ainsi d'augmenter la durée de la rémission. Si vous suivez les règles de prévention directement lors d'une crise, elles peuvent aider à soulager les symptômes et à accélérer la guérison.
Les mesures préventives importantes sont :
- Élimination du stress. Ou sa minimisation. Le stress altère considérablement le fonctionnement du système nerveux, ce qui affecte gravement l'état général du corps. Pour mieux gérer votre état émotionnel, vous pouvez vous inscrire à une psychothérapie. Les cours peuvent avoir lieu individuellement ou en groupe.
- Régime. L'alimentation doit être saine, équilibrée et contenir des aliments hypoallergéniques. La base du menu est constituée de protéines, de crudités et de produits laitiers fermentés. Vous devriez éviter la malbouffe comme les sucreries et les pâtisseries. Les aliments frits et fumés, les aliments épicés et trop salés ainsi que les aliments en conserve ne sont pas non plus les bienvenus. Sur Internet, vous pouvez trouver des photos du psoriasis au début de la maladie et après un régime.
- Buvez beaucoup de liquides. Il est généralement recommandé de boire quotidiennement 1,5 à 2 litres d’eau purifiée. Cependant, il est important de se concentrer sur son ressenti et de ne pas suivre aveuglément les recommandations.
- Complexes de vitamines. Il est conseillé de se faire prescrire des vitamines par un médecin – après examens.
- Mode. Manger, se réveiller et se coucher doivent être programmés. Cela permet au corps de maintenir plus facilement une activité adéquate. Il est conseillé de se lever tôt et de se coucher.
- De l'air frais. Il est important de se promener quotidiennement au grand air. Il réduit le stress et est généralement bénéfique pour le corps.
- Soins de la peau. Il vaut la peine d'utiliser régulièrement des crèmes émollientes et hydratantes. Surtout après les traitements à l'eau.
- Vêtements et chaussures confortables. Fabriqué à partir de matériaux naturels et doux. Les chaussures doivent être bien ajustées et les vêtements doivent être amples.
- Consultations régulières avec un médecin. Et les examens. Cela vous aidera à surveiller l'état de votre corps et à augmenter les chances de prévenir le psoriasis.
Ainsi, des photos des symptômes du psoriasis cutané aux stades initial et ultérieurs montrent clairement les nuisances de cette maladie. Il convient donc de veiller à la prévention.
Il est important de rappeler que dans la grande majorité des cas, le psoriasis se manifeste à la suite d’un stress intense. Il est donc d’abord important d’assurer un état d’esprit et une routine quotidienne harmonieux.

















